PATOLOGÍAS ASOCIADAS A LA PROYECCIÓN
Fractura de la cabeza del radio
(muy común en caídas con el brazo extendido).
Las fracturas de cúpula radial son más comunes en personas jóvenes y activas, pero también pueden afectar a adultos mayores, especialmente aquellos con osteoporosis, como resultado de una caída sobre el brazo extendido o en semiflexión. Es la fractura más común del codo (30% de todas las fracturas del codo), y con mayor prevalencia en mujeres (♂:♀= 2:3).
Su espectro de lesión va desde las fracturas no desplazadas simples, a aquellas más complejas multifragmentarias (o conminutas), o en el contexto de una luxación del codo .
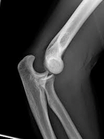
Fractura del olécranon
(lesión del codo posterior)
Las fracturas del olécranon son bastante frecuentes. Aunque generalmente ocurren por sí solos, sin otras lesiones, también pueden ser parte de una lesión más compleja del codo. En una fractura de olécranon, el hueso puede romperse ligeramente o romperse en muchos pedazos. Los pedazos de hueso rotos pueden quedar alineados o muy fuera de lugar (fractura desplazada).
Fractura supracondílea del húmero
(frecuente en niños).
En estas fracturas se afecta la parte distal del húmero.
Suelen producirse por caídas sobre la mano o sobre el codo. Los pacientes experimentan un dolor agudo intenso e impotencia funcional (incapacidad para mover el codo).
Las fracturas de capitellum son fracturas que afectan a una pequeña parte del húmero distal. Las fracturas supracondíleas o supraintercondíleas son lesiones en las que se fractura de una forma más extensa el húmero distal.
Debido a la afectación articular, son fracturas que habitualmente requieren tratamiento quirúrgico mediante la colocación de tornillos, placas, e incluso en pacientes seleccionados, prótesis de codo.
LUXACION DE CODO
La luxación de codo es la luxación más frecuente en extremidad superior tras la luxación glenohumeral. La reducción cerrada en aquellas luxaciones en que no hay lesión ósea asociada es un procedimiento realizable en el ámbito extrahospitalario, por lo que presentamos un repaso de las diferentes técnicas posibles.
Epicondilitis
Epicondilitis medial.
A: Rx AP y B: RM coronal en T1. Calcificación sobre el origen de los tendones flexores, por tendinitis crónica.
Aunque es un diagnóstico clínico (codo de tenista o de golfista), en casos persistentes puede pedirse radiografía para descartar calcificaciones o lesiones óseas.
condromatosis
La condromatosis sinovial es una patología benigna, infrecuente, de etiología desconocida en la que se desarrolla una metaplasia cartilaginosa del tejido sinovial. Se caracteriza por la formación de nódulos que son liberados en la cavidad HÚMERO rticular. El tratamiento consiste en la extracción de los cuerpos libres intraarticulares, preferentemente por vía artroscópica.






