PATOLOGÍAS ASOCIADAS A LA PROYECCIÓN
INFECCIONES RESPIRATORIAS
Una infección respiratoria aguda (IRA) es una enfermedad en las vías respiratorias que evoluciona en un periodo inferior a 15 días y que muchas veces se convierte en neumonía. Esta infección es un importante problema de salud pública, ya que es responsable de un gran número de fallecimientos. Se suele clasificar en tres tipos según su grado de complicación:
- IRA sin neumonía
- IRA con neumonía leve
- IRA con neumonía grave
Por ejemplo NeumonÍa por Covid
| Radiografía simple de tórax | |
| Enfermedad leve | – Muchas veces es normal.- Opacidades en vidrio deslustrado periféricas de predominio inferior. |
| Enfermedad moderada | – Consolidaciones parcheadas periféricas de predominio inferior.- A veces, se observa la progresión hacia una mayor afectación de los campos medios y superiores. |
| Enfermedad grave | – Opacidades pulmonares de distribución difusa, incluso con opacificación completa de ambos pulmones. |

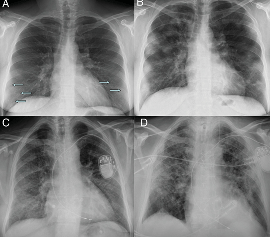
Radiografía inicial (A) y a los 12 días (B) en paciente con COVID-19 y enfermedad moderada. En la radiografía inicial se aprecian opacidades sutiles “en vidrio deslustrado” de localización periférica en campos pulmonares inferiores (flechas). A los 12 días, se observan consolidaciones multifocales de predominio periférico. Radiografía inicial (C) y a los 20 días (D) de otro paciente con COVID-19 y enfermedad moderada, en la que se observan inicialmente opacidades “en vidrio deslustrado” en bases y región periférica de campos medios y superiores, que progresan a un patrón alveolointersticial grosero que predomina en la región periférica de campos medios y superiores
- Bronquitis Aguda
La bronquitis aguda es una infección común de las vías respiratorias inferiores de los bronquios que provoca muchas consultas sanitarias al año. Suele deberse a causas víricas en pacientes sin enfermedad pulmonar crónica. Los síntomas son tos, con o sin expectoración, que suele desaparecer en 1-3 semanas. La bronquitis aguda se diagnostica clínicamente, aunque una radiografía de tórax ayuda a aclarar el diagnóstico si se sospecha neumonía.

INSUFICIENCIA CARDIACA
La insuficiencia cardiaca es un estado fisiopatológico en el que la disfunción del corazón provoca incapacidad para bombear sangre en la cantidad necesaria para suplir los requerimientos metabólicos del organismo. Las formas en las que se expresa clínicamente esta incapacidad son muy diversas, sin embargo, en el paciente adulto suelen detectarse a través de síntomas clásicos como la disnea.

Sobre todo para valorar signos de edema agudo de pulmón, cardiomegalia o congestión vascular.
PATOLOGÍA PULMONAR CRÓNICA
La enfermedad pulmonar obstructiva crónica (EPOC) es una patología caracterizada por una obstrucción al flujo aéreo no completamente reversible, secundaria a alteraciones de la vía aérea y/o alveolares, causada por la inhalación de partículas o gases nocivos, y que cursa con una sintomatología respiratoria persistente. A lo largo del curso clínico, los pacientes con EPOC pueden experimentar episodios agudos de empeoramiento de la sintomatología respiratoria, llamados exacerbaciones o agudizaciones.

NEUMOTORAX
Neumotórax es la presencia de gas en el espacio pleural, con el colapso pulmonar consiguiente. Un neumotórax espontáneo (NE) es el que aparece sin un antecedente de traumatismo torácico y se puede clasificar en secundario (NES) y primario (NEP), según se produzca en un individuo con o sin una enfermedad pulmonar subyacente, respectivamente. No obstante, esta clasificación tradicional del NE puede ser confusa si tenemos en cuenta que en más del 80% de los pacientes con NEP se encuentran, bien por tomografía computarizada (TC) o durante la cirugía, pequeñas bullas (1-2 cm de diámetro) localizadas en los lóbulos superiores, que podrían tener un papel causal. El neumotórax traumático es consecuencia de lesiones torácicas penetrantes o no penetrantes. El neumotórax iatrogénico se produce como resultado de maniobras diagnósticas o terapéuticas. Finalmente, un neumotórax a tensión (NT) es aquel en el que la presión en el espacio pleural es positiva durante todo el ciclo respiratorio.
