PATOLOGÍAS ASOCIADAS A LA PROYECCIÓN
OBSTRUCCIÓN INTESTINAL
La obstrucción intestinal se define como el bloqueo total o parcial del tránsito intestinal, afectando al paso de los alimentos, las heces y los gases.
Puede producirse en cualquier segmento del intestino delgado o grueso; el segmento intestinal que queda por encima de la obstrucción continúa funcionando, dilatándose a medida que se va llenando de alimentos, líquidos y secreciones digestivas.
Sin embargo, hay que distinguir el íleo paralítico, definido también como pseudobstrucción, donde el intestino no funciona de manera correcta, sin que exista un problema mecánico, normalmente como consecuencia de una cirugía abdominal, gastroenteritis o trastornos de los electrolitos.

La radiografía simple de abdomen puede distinguir la dilatación de asas intestinales de delgado frente la dilatación del marco cólico, valorando la posible localización de la obstrucción
ILEO PARALÍTICO
El íleo paralítico consiste en la desaparición de los movimientos peristálticos intestinales debido a una reacción refleja del sistema nervioso autónomo (íleo paralítico reflejo), o a alteraciones metabólicas.

La radiografía simple de abdomen en decúbito supino y/o en bipedestación (o en decúbito lateral izquierdo con rayo horizontal en enfermos que no pueden mantenerse de pie) muestra distensión generalizada del tracto digestivo, con niveles de líquido.
PERFORACIÓN DE VÍSCERA HUECA
La perforación de víscera hueca o perforación gastrointestinal representa una afección en la que se pierde la integridad de la pared gastrointestinal con la consiguiente fuga del contenido entérico hacia la cavidad peritoneal, lo que resulta en peritonitis. Entre las causas de perforación de víscera hueca se encuentran los traumatismos, la isquemia intestinal, las infecciones o las afecciones ulcerosas, todas las cuales acaban provocando una ruptura de espesor total de la pared intestinal. La perforación de víscera hueca se presenta como una aparición súbita de dolor abdominal, distensión, náuseas, vómitos, estreñimiento y síntomas de peritonitis. El diagnóstico se basa en los antecedentes e imagenología, incluyendo la TC abdominopélvica y radiografía.

FECALOMA

El fecaloma es una acumulación de heces en el recto o en el colon, que taponan el flujo normal del tracto intestinal, la localización más frecuente es en colon sigmoideo y recto. Puede presentarse como episodio de dolor abdominal, vómitos por obstrucción e incluso diarrea por rebosamiento. También es preciso la realización de diagnóstico diferencial con masas en hipogastrio. Las opciones de tratamiento son los enemas, laxantes, evacuación rectal para aliviar la impactación fecal, e incluso cirugía si los métodos conservadores fallan.
MASA ABDOMINAL (TUMORES, ABSCESOS).
Por ejemplo, la carcinomatosis peritoneal secundaria a adenocarcinoma de colon es una metástasis al peritoneo poco frecuente e indicativa de mal pronóstico.

Radiografía simple de abdomen: silencio central con desplazamiento de asas intestinales hacia la periferia.
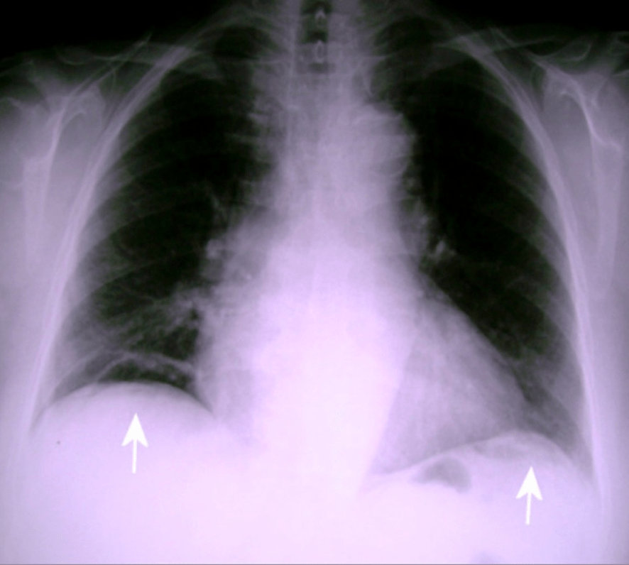
NEUMOPERITONEO (AIRE EN CAVIDAD PERITONEAL).
El neumoperitoneo se define como la presencia anómala de aire dentro de la cavidad peritoneal o abdominal. En la mayoría de los casos refleja una enfermedad abdominal grave y obliga a efectuar numerosas pruebas de imagen, o incluso cirugías urgentes, ante la posibilidad de que este hallazgo sea el reflejo de una posible perforación de víscera hueca. Sin embargo, y aunque la posibilidad de perforación visceral sea la más frecuentemente considerada, la detección de neumoperitoneo no siempre indica o conduce a la necesidad de cirugía urgente.
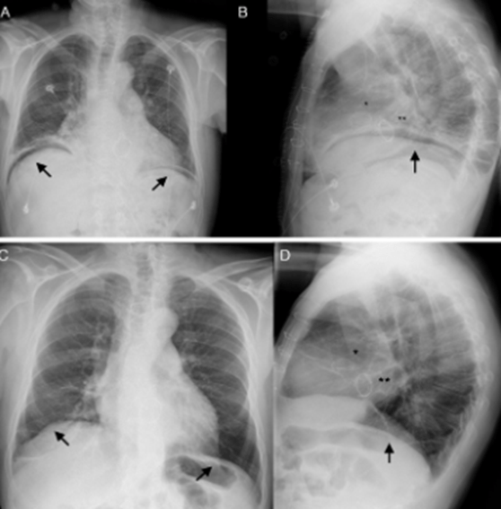
Aun que presentamos radiografia de Torax para ilustrar la patología, es normalmente con abdomen en bipedestación como se localiza este hallazgo.

A. Radiografía anteroposterior de tórax mostrando la presencia de neumoperitoneo a ambos lados diafragmáticos (flechas). B.Radiografía lateral de tórax mostrando el neumoperitoneo (flecha). C-D: Radiografía anteroposterior y lateral respectivamente, realizadas al mes tras la intervención, en las que se comprueba la resolución del neumoperitoneo (flechas), con una mínima elevación del hemidiafragma derecho (flecha), en ausencia de derrames pleurales a nivel bilateral. Los alambres esternales son patentes así como la visualización de las prótesis valvular aórtica mecánica y mitral biológica.
INGESTA DE CUERPOS EXTRAÑOS (SOBRE TODO EN PEDIATRÍA O PACIENTES PSIQUIÁTRICOS).
La ingesta de cuerpos extraños no alimentarios, inadvertida o intencionalmente, es una situación habitual en las consultas de pediatría. Exceptuando los objetos grandes o afilados, la gran mayoría progresarán espontáneamente a través del tubo digestivo sin consecuencias.
